Solução Inovadora no Combate à Salmonella na Indústria Avícola é desenvolvida por pesquisadores da UTFPR - Toledo

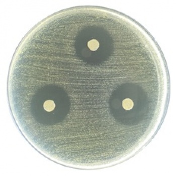
Em meio aos desafios que envolvem a segurança alimentar e a indústria avícola, a equipe do Grupo de Polímeros e Nanoestruturas apresenta uma solução inovadora que promete revolucionar o setor. A Salmonella spp., uma bactéria comum na flora normal das aves, pode representar um risco considerável para os consumidores e um obstáculo significativo para as exportações de carne de frango, devido às regulamentações cada vez mais rigorosas. Pensando nisso, pesquisadores do Grupo de Polímeros e Nanoestruturas desenvolveram uma matriz vítrea otimizada com amplo espectro de ação antimicrobiana. Essa matriz não é direcionada apenas para a Salmonella, mas também para outras bactérias e fungos, incluindo Pseudomonas aeruginosa, Klebsiella pneumoniae, Staphylococcus aureus, E. coli O157:H7, Listeria monocytogenes, Salmonella typhimurium, Salmonella enteritidis, Salmonella derby, Salmonella senftenberg, Salmonella choleraesuis, Salmonella Heidelberg, bem como os fungos Macrophomina phaseolina, Aspergillus niger e Sclerotinia sclerotiorum.
O setor avícola é de grande importância para o Brasil, que atualmente é o segundo maior produtor mundial e líder na exportação de carne de frango. O país representa 35% desse mercado, exportando para mais de 150 países e gerando uma receita considerável de US$ 7,6 bilhões. No cenário nacional, o estado do Paraná se destaca, contribuindo com cerca de um terço da produção de carne de frango do Brasil. Municípios como Cascavel, com 21 milhões de aves, e Toledo, com 10,7 milhões de aves, lideram a produção na região, seguidos por Santa Helena com 8 milhões, Assis Chateaubriand com 7,9 milhões e Marechal Cândido Rondon com 5,7 milhões. No entanto, outras cidades paranaenses se destacam como Cianorte com 13,8 milhões, Dois Vizinhos com 9,2 milhões e Londrina com 6,2 milhões de aves, segundo Pesquisa da Pecuária Municipal, do Instituto Brasileiro de Geografia e Estatística (IBGE).
A pós-doutoranda Gabrielle Peiter destaca que a aplicação de vidros como agentes antimicrobianos é um tópico inexplorado. Além disso, a síntese de vidros borofosfatos solúveis em água a baixa temperatura (<400 °C) permite a obtenção dos materiais em condições brandas em relação às condições usualmente empregadas (> 1000 °C). Desta forma, o material vítreo solúvel em água com ação antimicrobiana e amplo espectro de aplicação é um material inovador pois não possui metais caracteristicamente aplicados (Ag, Cu e/ou Zn) para obtenção da ação antimicrobiana. A capacidade de dissolução em água permite, por exemplo, a obtenção de géis com ação antimicrobiana com desempenho superior ao álcool em gel, complementa Gabrielle. O professor Ricardo Schneider destaca que a matriz desenvolvida pode ser obtida em temperaturas significativamente mais baixas do que as usadas na síntese de vidros convencionais. Isso não apenas viabiliza a ampliação da escala de produção, mas também reduz o consumo energético do processo de síntese. A pesquisa do Grupo de Polímeros e Nanoestruturas abre novos caminhos para a indústria avícola e oferece uma solução pioneira para o combate à Salmonella e outros patógenos, apoiando a produção de alimentos mais seguros e sustentáveis.




















Procura-se: Família procura por Sky, gatinha desaparecida no Jardim Gisela